当前位置:肿瘤瞭望>百家>病例>正文

案例实录:奈拉替尼强化辅助治疗降低复发风险,中医辨证-温脾实肠颗粒改善腹泻发生

作者:肿瘤瞭望   日期:2025/4/18 16:58:44  浏览量:17232

肿瘤瞭望版权所有,谢绝任何形式转载,侵犯版权者必予法律追究。

近年来,随着乳腺癌诊疗技术的快速发展、创新疗法的广泛应用以及靶向药物的普及,我国乳腺癌患者的生存预后显著改善,5年生存率已提升至83.2%[1],逐步接近国际先进水平。随着患者生存期的延长,治疗安全性的管理成为临床关注的重点。国内外多部指南和专家共识建议,对于HER-2阳性早期乳腺癌患者,在完成含曲妥珠单抗的辅助治疗后,可序贯奈拉替尼强化治疗,以进一步降低复发风险,提高治愈率。然而,腹泻作为奈拉替尼等小分子靶向药物的常见不良反应,可能影响患者的生活质量和治疗依从性。因此,及早识别并妥善处理腹泻问题,对于减少药物减量或停药、确保治疗效果最大化具有重要意义。

编者按:近年来,随着乳腺癌诊疗技术的快速发展、创新疗法的广泛应用以及靶向药物的普及,我国乳腺癌患者的生存预后显著改善,5年生存率已提升至83.2%[1],逐步接近国际先进水平。随着患者生存期的延长,治疗安全性的管理成为临床关注的重点。国内外多部指南和专家共识建议,对于HER-2阳性早期乳腺癌患者,在完成含曲妥珠单抗的辅助治疗后,可序贯奈拉替尼强化治疗,以进一步降低复发风险,提高治愈率。然而,腹泻作为奈拉替尼等小分子靶向药物的常见不良反应,可能影响患者的生活质量和治疗依从性。因此,及早识别并妥善处理腹泻问题,对于减少药物减量或停药、确保治疗效果最大化具有重要意义。
 
本文通过一例右乳浸润性导管癌患者的治疗案例,探讨奈拉替尼相关腹泻的管理策略。该患者术后接受化疗联合曲妥珠单抗和帕妥珠单抗(HP)辅助治疗约1年,此后,患者接受奈拉替尼强化辅助治疗,按照3-4-6剂量递增方式给药(第一周3片/天,第二周4片/天,第三周及以后6片/天),目前病情稳定。值得注意的是,在奈拉替尼治疗初期,患者常规使用洛哌丁胺预防腹泻,但仍出现腹泻症状,之后服用江苏省中医院特色中药制剂-温脾实肠颗粒,腹泻症状迅速好转。截至目前,患者未出现其他不良反应,整体状况良好。
 
病例分享专家简介
 
 
王聪
江苏省中医院乳腺外科
中医师博士研究生
发表SCI2篇,中文核心论文10篇,科技核心论文5篇,主持院级课题一项,市级课题一项
曾获中华中医药科技进步二等奖
作为编委编书两本《许芝银乳腺病临证精要》、《外科常见病外治疗法》
获得国家发明专利1项
江苏省中医药学会乳腺病专委会青年委员
中华中医药学会外科分会疮疡专业委员会委员
江苏省整合医学研究会围手术处理专业委员会委员
 
病例介绍
 
患者基本信息
 
患者:女,年龄45岁,未绝经,体重60kg。
 
主诉:发现右乳肿块半年。
 
家族史:否认家族性肿瘤病史及其他遗传病史。
 
既往史:既往健康,无基础疾病。
 
现病史:患者半年前因“右乳肿块”至我院行穿刺活检,病理提示:(右乳肿块穿刺标本):浸润性乳腺癌,非特殊类型(浸润性导管癌),Nottingham分级:2级,未见明确脉管内癌栓及神经侵犯。免疫组化结果:ER(约2%弱+),PR(约5%弱+),Her-2(3+),Ki67(约50%+)。
 
入院见:患者神清,精神可,无恶寒发热,无头晕头痛,无胸闷胸痛,无恶心呕吐,无腹痛腹泻,纳寐可,二便调。近期体重未见明显变化。
 
辅助检查
 
·乳腺彩超
 
1、右乳9点见一个低回声区,大小约0.53*0.63cm,呈直立生长,边缘成角、毛刺,内部回声不均匀,肿块内未见强回声,BIRADS 5类;
 
2、右乳10点见一个低回声区,大小约1.4*0.9cm,边缘成角、毛刺,内部回声不均匀,肿块内未见强回声,BIRADS 5类。
 
图1乳腺彩超结果
 
·乳腺钼靶
 
1、双乳腺体密度混合型ACR c型;
 
2、双乳小叶增生伴瘤化;右乳外上象限多发结节,考虑BIRADS 4B类,建议进一步MR检查。
 
图2乳腺DR结果
 
·乳腺核磁共振(MRI)
 
1、双侧乳腺呈多量型(ACR-c型);
 
2、右乳上方结节影,考虑为乳腺癌,BIRADS 6类,右乳外上结节及小片状强化灶,BIRADS 4a类,DCIS待排除;
 
3、双侧乳腺增生,BIRADS 2类。
 
图3乳腺MRI结果
 
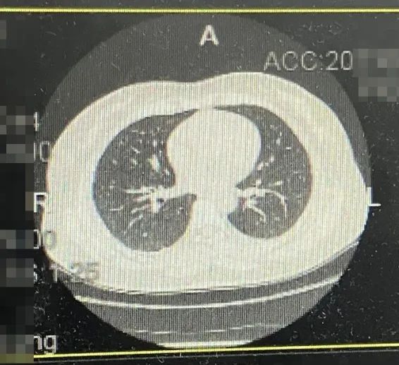
·CT
 
1、右乳后上方结节影,伴右侧腋下多枚淋巴结,建议乳腺核磁MRI平扫+增强进一步检查;
 
2、右肺下叶及左肺下叶胸膜下少许间质增生,或可能由肺坠积效应所致;
 
3、肝脏钙化灶
 
4、胸腰椎轻度退行性变。
 
图4 CT结果
 
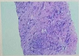
·病理
 
(右乳肿块穿刺病理):浸润性乳腺癌,非特殊类型(浸润性导管癌),Nottingham分级:2级,未见明确脉管内癌栓及神经侵犯。免疫组化结果:ER(约2%弱+),PR(约5%弱+),Her-2(3+),Ki67(约50%+)。
 
图5穿刺活检结果
 
·实验室检查
 
血常规(白细胞、中性粒细胞计数、血红蛋白、血小板)、生化(肝肾功能ALT等)均正常,心肺功能正常,肿瘤指标(CEA、CA125、CA153、CA199)均未见异常。
 
临床诊断:右乳浸润性导管癌,cT1bN1aM0。
 
治疗经过
 
一、手术治疗
 
2023-08-11排除手术禁忌,遂在全麻下行“右单侧乳房根治性切除伴同侧腋窝前哨淋巴结活检术+右腋下淋巴结根治性切除术”。术中快速病理(右腋下淋巴结):查及美兰染色淋巴结(1/3)枚见癌转移;非美兰染色淋巴结1枚未见癌转移(0/1)。结合常规及免疫组化,支持为浸润性导管癌转移。术后常规病理提示:(右乳癌单纯切除标本):1.常规及免疫组化标记,支持浸润性导管癌,Nottingham分级:2级(腺体形成3分,核级2分,核分裂1分,总分6分),肿瘤最大径0.9cm,未见明确脉管内癌栓及神经侵犯;另见乳腺导管原位癌(DCIS,高级别,粉刺型实体型)伴微浸润(微小浸润性乳腺癌,浸润灶最大径1mm,可见小叶癌化。免疫组化结果:ER(30%,弱-中等+),PR(约20%,中等+),Her-2(3+),Ki67(约8%+)。
 
病理分期:T1bN1a(sn)。
 
FISH检测:HER-2基因为阳性。
 
诊断:右乳浸润性导管癌,pT1bN1aM0。
 
二、术后辅助治疗
 
辅助治疗为EC-THP方案,具体用药如下:
 
于2023-08-25、09-15、10-06、10-27行术后第1、2、3、4次辅助化疗(EC方案,具体用药:注射用表柔比星140mg;环磷酰胺850mg)。11-18、12-09、12-30、2024-01-20行术后第5、6、7、8次辅助化疗,方案T(多西他赛)140mg。
 
2023-11-17行第1次HP双靶向治疗(首剂均为负荷剂量),具体方案:帕妥珠单抗840mg+曲妥珠单抗(汉曲优®)8mg/kg,每三周一周期;之后HP双靶方案降至常规剂量,具体方案:帕妥珠单抗420mg+曲妥珠单抗(汉曲优®)6mg/kg,2024年10月21日结束HP双靶治疗。
 
三、强化辅助治疗
 
2024年12月给予奈拉替尼(汉奈佳®40mg/片)强化治疗至今。
 
给药方案:3+4+6剂量递增给药。第一周3片/天,未出现腹泻,第二周4片/天,每天出现腹泻2-3次,第三周开始6片/天,腹泻次数增加至每天4-6次且有便血,加用江苏省中医院特色中药制剂-温脾实肠颗粒,服用一周左右,腹泻明显改善,腹泻控制在每天1-2次。后续恢复正常。
 
专家点评
 
点评专家简介
 
宋波洋教授
江苏省中医院乳腺外科
副主任医师
2013年复旦大学附属肿瘤医院乳腺外科研修乳腺癌手术及综合治疗,师从江苏省国医名师许芝银教授。
第六批全国名老中医经验继承人
南京医学会普外分会甲乳学组成员
江苏省中医药学会乳腺专委会委员兼秘书
中国中药学会肿瘤药物研究专业委员会委员
中华中医药学会外治分会青委会委员
 
积极管理腹泻不良反应,分级应对提高治疗依从性
 
HER-2阳性乳腺癌患者接受TKI治疗过程中,可能引起的不良反应包括腹泻、药物性肝损伤、恶心、呕吐、皮肤毒性、心脏毒性和口腔黏膜炎等,其中腹泻是为最常见的不良反应,研究提示抗HER2-TKIs引起的≥3级腹泻的发生率为6%~40%[2]。腹泻可能导致脱水、电解质紊乱、营养不良、疲劳和肾功能不全等问题,均会降低患者的生存质量和用药依从性[3-4]。多项研究表明,腹泻是导致TKIs类药物减量或停药的主要原因,会影响临床疗效[3-7]。此外,相比其他抗HER2靶向治疗,抗HER2-TKIs药物通常需要每日服用,持续数月至数年,这无疑给患者治疗的长期管理带来挑战[4]。因此,如何有效预防和管理抗HER2-TKIs相关腹泻,提高患者接受抗HER2-TKIs治疗的依从性,成为临床关注的重点。
 
腹泻作为抗HER2-TKIs治疗中最常见的不良反应,其具体机制尚未完全明确[2,8],深入探索其机制有助于发现更有效的治疗策略。有研究表明HER2-TKIs引发腹泻可能有以下机制:①肠道上皮细胞EGFR信号通路抑制导致绒毛萎缩;②氯离子通道过度激活引发分泌性腹泻;③肠道微生物群α-防御素表达异常。值得注意的是,携带UGT1A1基因多态性及基线存在慢性肠病的患者,发生3级以上腹泻的风险增加3-5倍。
 
根据NCI-CTCAE的分级,并结合患者是否出现其他情况,《HER2阳性乳腺癌TKIs治疗相关腹泻管理的多学科专家共识》将抗HER2-TKIs相关腹泻可分为“单纯性腹泻”和“复杂性腹泻”。1~2级腹泻且无其他伴随情况的患者被归类为单纯性腹泻,可采取保守治疗措施。≥3级腹泻患者或1~2级腹泻伴下述任何1种情况的患者:中重度绞痛、≥2级恶心/呕吐、发热、脓毒症、中性粒细胞减少、出血、脱水,应归类为复杂性腹泻,需给予积极管理[9]
 
单纯性腹泻的处理[9]
 
对于被诊断为单纯性腹泻的患者,建议采取包括饮食和生活习惯调整、口服补液和洛哌丁胺治疗在内的保守治疗措施。在腹泻症状缓解至≤1级或基线水平后,可以考虑恢复正常剂量继续抗HER2-TKIs治疗。
 
复杂性腹泻的处理[9]
 
对于复杂性腹泻患者,建议立即暂停抗HER2-TKI治疗,并考虑同时暂停任何联合化疗药。患者住院应接受多学科团队评估,并密切监测生命体征及血尿便指标。治疗中应积极采取止泻措施,包括给予洛哌丁胺±复方地芬诺酯等其他止泻药物。对于存在可疑感染的患者给予广谱抗生素治疗。若患者在48 h内症状无明显改善建议加用奥曲肽以增强腹泻治疗效果。腹泻缓解至≤1级或基线水平后,依据缓解难易程度进行剂量调整重新开始抗HER2-TKIs治疗。对于4级腹泻的患者应永久停用HER2-TKIs。
 
中医药调腹泻独具特色,精准施治彰显疗效优势
 
中医称腹泻为“泄泻”,首载于《内经》,古将大便溏薄而势缓者称为泄,大便清稀如水而势急者称为泻,今统称为泄泻。分子靶向药物相关性腹泻亦属“泄泻”范畴。其病位在脾胃,脾阳不足、中焦失运是泄泻发生的关键病机。恶性肿瘤患者体质多虚,脏腑亏虚,《EGFR-TKI不良反应管理专家共识》指出[10],泄泻的发生与“药毒”(TKI攻伐脾胃)及“体虚”(久病脾虚、中焦不运)密切相关。TKI属攻伐之品,易伤脾阳,致中焦虚寒,运化失司,水湿下注,发为泄泻。
 
温脾实肠颗粒出自江苏省中医院特色制剂[11],其功效为温阳健脾、调运中焦,主要用于久泻脾虚、中肠不运之证,如慢性结肠炎、肠易激综合征及肿瘤放化疗或靶向治疗相关性腹泻,症见下腹隐痛、肛门坠胀、便溏不实者。方中党参、白术、炙甘草健脾益气;炮姜炭、吴茱萸温中散寒,振奋脾阳;肉豆蔻、乌药温肾暖脾,固肠止泻;木香、厚朴行气调中,疏通壅滞;白芍柔肝缓急,防风升清止泻;神曲消食助运。全方以温补脾阳为核心,兼顾行气化湿、固肠止泻,契合脾虚中寒、气滞湿阻之病机。
 
既往临床实践表明,温脾实肠颗粒可有效缓解靶向药物引起的腹泻,尤其适用于脾阳不足、中焦虚寒型患者。其温阳之力较强,可改善患者畏寒、腹痛等虚寒症状,同时调节肠道功能,减少便溏频次。本例患者经辨证,在奈拉替尼治疗一周内即给予温脾实肠颗粒治疗后腹泻明显好转。当然,本病例中温脾实肠颗粒的用法属于“既病防变”,用于发病之初中期,患者在奈拉替尼治疗期间出现腹泻伴下腹冷痛,辨证为脾阳虚衰,予温脾实肠颗粒治疗后症状显著缓解。
 
中医强调“治未病”,在开始TKI治疗前,可通过体质辨识(如阳虚、气虚等)预判腹泻风险。对脾阳不足者,提前给予温脾实肠颗粒温补中焦,可降低腹泻发生率;若腹泻已发,则根据寒热虚实调整剂量或配伍(如湿热者可加黄连,气滞甚者增木香)。同时,需注重饮食调护,嘱患者忌生冷、油腻、高纤维及乳制品,宜少食多餐,以温热易消化食物为主,辅以山药、生姜等温中食材,以助药力。
 
温脾实肠颗粒以温阳健脾、调运中焦为法,针对TKI相关性腹泻的脾虚中寒证型,体现中医“辨证施治”与“未病先防”的优势,与西医分级管理结合,可全面提升患者生活质量及治疗依从性。
 
参考文献
 
[1]Tao X,et al.Asia Pac J Clin Oncol,2023 Dec19(5):645-654
 
[2]王碧芸,葛睿,江泽飞,等.乳腺癌靶向人表皮生长因子受体2酪氨酸激酶抑制剂不良反应管理共识[J].中华肿瘤杂志,2020,42(10):798-806.
 
[3]Liu J,Yan S,Du J,et al.Mechanism and treatment of diarrhea associated with tyrosine kinase inhibitors[J].Heliyon,2024,10(6):e27531.
 
[4]Secombe K R,Van Sebille Y Z A,Mayo B J,et al.Diarrhea Induced by Small Molecule Tyrosine Kinase Inhibitors Compared With Chemotherapy:Potential Role of the Microbiome[J].Integrative Cancer Therapies,2020,19:1534735420928493.
 
[5]Chan A,Moy B,Mansi J,et al.Final Efficacy Results of Neratinib in HER2-positive Hormone Receptor-positive Early-stage Breast Cancer From the Phase III ExteNET Trial[J].Clinical Breast Cancer,2021,21(1):80-91.e7.
 
[6]Frankel C,Palmieri F M.Lapatinib Side-Effect Management[J].Clinical Journal of Oncology Nursing,2010,14(2):223-233.
 
[7]Xu B,Yan M,Ma F,et al.Pyrotinib plus capecitabine versus lapatinib plus capecitabine for the treatment of HER2-positive metastatic breast cancer(PHOEBE):a multicentre,open-label,randomised,controlled,phase 3 trial[J].The Lancet Oncology,2021,22(3):351-360.
 
[8]Wu J,Jiang Z,Liu Z,et al.Neoadjuvant pyrotinib,trastuzumab,and docetaxel for HER2-positive breast cancer(PHEDRA):a double-blind,randomized phase 3 trial[J].BMC Medicine,2022,20(1):498.
 
[9],中国抗癌协会乳腺肿瘤整合康复专业委员会,HER2阳性乳腺癌TKIs治疗相关腹泻管理的多学科专家共识,中国肿瘤临床2025年第52卷
 
[10]王碧芸,葛睿,江泽飞,等.乳腺癌靶向人表皮生长因子受体2酪氨酸激酶抑制剂不良反应管理共识[J].中华肿瘤杂志,2020,42(10):798-806.
 
[11]朱吾元.温脾实肠法组方治疗脾阳不足型泄泻机理的初步研究[D].南京中医药大学,2011

本内容仅供医学专业人士参考


乳腺癌

分享到: 更多